Understanding Fetal Medicine
Fetal medicine focuses on monitoring and managing the health of... Read More
Neo Life Fetal Scan Centre in Vijayawada, under the expert leadership of Dr. Prashanthi, stands as a trusted destination for comprehensive and compassionate prenatal care. Designed to support every stage of pregnancy, the centre offers advanced fetal imaging and high-precision prenatal scans that help in early detection, accurate assessment, and timely guidance for expecting parents.
Well Experienced
Advanced Equipment
24/7 Emergency Care
100% Trusted
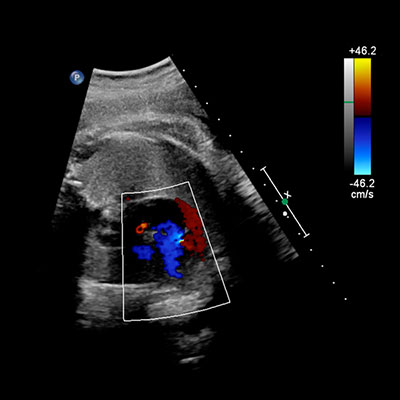
Ultrasound scans play a crucial role during pregnancy. They help monitor your baby’s growth, development, and overall wellbeing at every stage.
Confirms pregnancy, checks heartbeat, estimates due date, and detects twins.
Screens for chromosomal issues using neck translucency.
Detailed evaluation of all major fetal organs to detect structural abnormalities.
Tracks baby’s growth, weight, movements, and amniotic fluid levels.
Checks blood flow in the placenta and umbilical cord.
Detailed assessment of the baby’s heart to detect congenital heart defects.
Delivering trusted, patient-centric healthcare services using modern techniques and compassionate expertise.
Hear from our patients as they share their experiences of care, trust, and positive
outcomes with our medical services.
My NT scan at Neo Life Fetal Scans Centre in Vijayawada with Dr. Prashanthi was truly reassuring. She patiently explained every measurement and what it meant for my baby’s health. The scan was done gently and professionally, making me feel calm, confident, and deeply cared for throughout the entire process.
Schedule a consultation with our specialist for personalized care and trusted treatment.
Stay updated with the latest medical articles, innovations, and expert perspectives from our doctor.